One of the most common complaints doctors hear from patients is pain in the knees. What causes this pain is not always possible to tell right away. The knees can be affected by various diseases, for example, arthrosis of the knee joint. It is also known as gonarthrosis.
Knee osteoarthritis is a non-inflammatory joint injury that often results in cartilage destruction, bone deformity and limitation of movement. This disease has the code M17 in the International Classification of Diseases (ICD-10).

All patients can be divided into two groups. The first group includes young people, more often young men, with damage to one, less often to both knee joints. They have a knee injury or operation in their medical history.
The second group includes obese, middle-aged or elderly people, more often women, in whom gonarthrosis has developed in several parts of the body at the same time.
Symptoms of knee osteoarthritis
Symptoms of knee osteoarthritis gradually increase. Patients may not be aware they are sick for years until they notice an obvious knee deformity or severe pain.
At the same time, arthritis of the knee joint at the initial stage of the disease is most often accompanied by unpleasant and painful sensations in the knees, and few people consult a doctor.
Women prone to obesity, especially after 40 years, are predisposed to this disease.
Varicose veins also contribute to the development of the disease. At this stage, it is possible to treat the disease at home without using tablets and ointments.
The pain is not sudden, it appears gradually, over several years. They usually occur during sports, walking and other physical activities.
Acute pain may not be a symptom of knee osteoarthritis, but the consequence of a crack, meniscus injury or bruise. It is the intense pain that becomes the motivation to turn to a specialist.
The pain often worsens in the following cases:
- while walking;
- in a prolonged standing position;
- during slopes;
- lifting the body from a seated position;
- when transporting heavy objects.
When performing these actions, the maximum load acts on the joints. Therefore, if the patient experiences significant discomfort, he can already be diagnosed with arthritis of the knee joint of the second stage. A person tries to move less, to take a static position in order to avoid pain, but with continued physical activity, the discomfort returns.

Deforming arthrosis of the knee joint accompanies such a symptom as deformity. It becomes noticeable already in the second or third stage of the disease. His first signs: the knee was slightly swollen, but kept its shape. In later stages, there is a change in the shape of the knee, making one leg shorter or longer.
One of the most characteristic symptoms is a tightening of the joints, noticeable in the second and third stages. The main thing is to distinguish the sound crackle in the joints of a healthy person from the dull and dry crackle of the patient. This sound causes weakness of the ligamentous apparatus or high mobility of the joints.
To ensure the immobility of the knee joint, it is recommended to wear knee braces.
Forms of gonarthrosis
There are two forms of the disease:
- Primary: Occurs as a result of congenital abnormal development of the joints.
- Secondary: Appears as a result of illness or injury.
The primary form of osteoarthritis of the knee joint often develops in childhood and is caused by improper formation of ligaments and joints. They are subjected to heavy loads and become deformed during physical activity.
The secondary form of the disease is caused by the following factors:
- Injuries (bruises, sprains, displacements, fractures), which lead to violations of the structure of bones, ligaments and cartilage. All this is a post-traumatic form of the disease.
- Operations when the meniscus is displaced violate the integrity of the knee structure.
- Too much load on the legs (typical for weightlifters).
- Obesity. Excess weight puts pressure on the cartilage of the knee joints.
- Passive lifestyle.
- Diabetes.
- Age.
- Arthritis (inflammatory process in the joints). Prolonged illness is accompanied by the formation of excess fluid in the joint cavity and leads to complications.
- Metabolic disorders lead to the deposition of salts.
- knee transplant.
- Diseases that cause prolonged muscle cramps in the legs or vasospasm.
The development of the disease can take a unilateral or bilateral form. Trauma often causes left or right knee osteoarthritis, and obesity is bilateral.
Disease stages
There are three stages of gonarthrosis:
- From the appearance of the first stage to the visible manifestations of the disease, it can take several months or even years. The person complains of intermittent pain in the legs, especially when starting or going down stairs and getting out of bed in the morning. The pictures usually show a narrowing of the connection between the joints, and, as a rule, instead of going to the doctor, patients use traditional medicine - ointments and tinctures.
- The second stage is characterized by more acute pain, which does not stop with the immobility of the limb. A crackle appears. Fluid accumulates in the joint cavity, the x-ray shows the deformation and growth of the bone. The patient at this stage tries in every possible way not to move the affected limb. The attending physician prescribes injections and chondroprotectors - drugs that help restore cartilage tissue.
- In the final third stage, the pain becomes constant and often worsens with changing weather conditions. The X-ray shows a significant deformation of the knee, which can only be corrected by surgery, the patient must take a complex of chondroprotectors. The patient's gait changes: he walks on half bent legs or rolls from side to side.
Causes of disease. Risk groups
Overweight
Most often, deforming osteoarthritis affects the elderly. In a special risk group are overweight women after 40 years. The probability of pathology in obese people is 4 times higher than in people with normal body weight. The pattern is simple: the higher a person's weight, the faster the disease develops and the more severe it is. In this case, the form of the disease can be called acquired. It is the joints of the lower extremities that fall under the blow, since they are forced to bear the greatest load.
Overweight people also face hormonal imbalances and metabolic disorders, which contribute to the development of obesity and osteoarthritis.
Age
Old people can be called those who have reached the age of more than 60-65 years. In this population, osteoarthritis occurs in 65-85% of people.
The reason for this is age-related changes that negatively affect the structure of the joints. Even ordinary walking can become a heavy load and stimulate the development of the disease, while worn out cartilage can no longer recover on its own.
Congenital pathologies and hereditary factors
The disease can affect young people as well as those who are not overweight. As a rule, in such situations, the disease occurs due to congenital malformations of the knee joints, for example, a lack of intra-articular lubrication. Heredity also plays an important role.
Yet the majority of patients with knee pain are people of respectable age. Osteoarthritis is rare in young people. Unfortunately, young patients do not always receive the necessary treatment, since not all doctors consider it necessary to give them the necessary attention.
High loads
People who earn their living through heavy physical labor and athletes of different levels are also at risk of knee osteoarthritis. In this case, the disease becomes an occupational pathology.
Operations, injuries and other illnesses
Surgery, trauma, various diseases of the joints can provoke the appearance of gonarthrosis.

When the cause remains unknown, osteoarthritis of the knee joint is commonly referred to as idiopathic.
Diagnosis of osteoarthritis of the knee joint
This diagnosis is made on the basis of patient complaints, examination data, palpation of the diseased joint and X-ray examination.
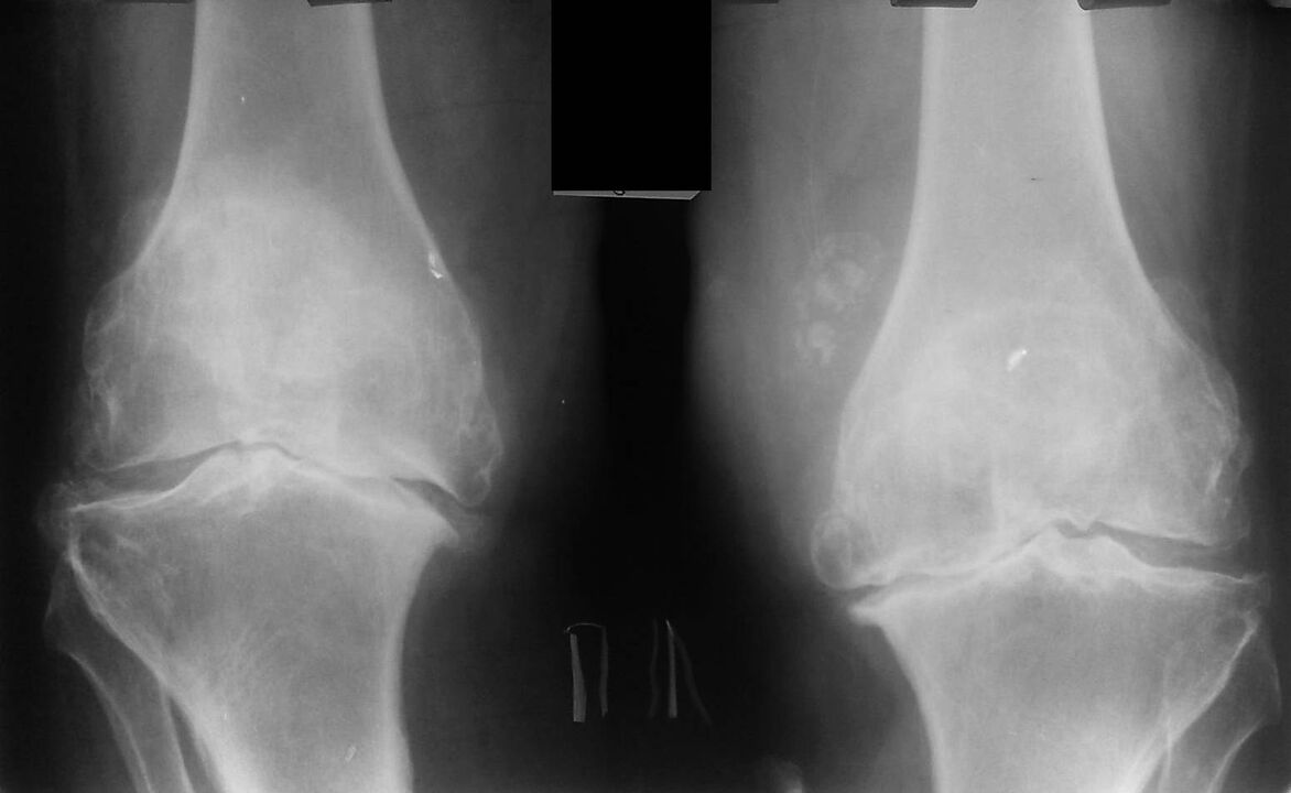
X-ray is a standard research method that allows you to confirm the diagnosis, establish the degree of pathological changes, monitor the dynamics of the process, and also allows you to exclude other pathological processes (for example, tumors)in the tibia and femur. .
It should be noted that the main changes in the structures of the knee joint on x-rays may be absent. Subsequently, the narrowing of the joint space and the compaction of the subchondral zone are determined. The articular ends of the femur and especially the tibia expand, the edges of the condyles become sharp.
Auxiliary diagnostic methods are computed tomography (computed tomography) and MRI (magnetic resonance imaging), which allow a more detailed study of pathological changes in bone structures and identify changes in soft tissues.
How to treat gonarthrosis of the knee joint
The more acute the stage of the disease, the more complex the treatment of gonarthrosis becomes. The chronic nature of the pathology can remain in the remission phase, when the active manifestations of the disease are minimized or completely absent.

Physiotherapy treatment in combination with chondroprotective drugs gives positive results.
Treatment options include:
- pharmacotherapy (chondroprotectors);
- surgical intervention;
- rehabilitation courses (ergotherapy, massage, etc. ).
Treatment with drugs
Along with drug therapy, the use of nonsteroidal painkillers is prescribed. These medications help relieve the pain and symptoms of synovitis (inflammation). If the pain is particularly severe or if the synovium of the knee joint is severely inflamed, corticosteroids may be used. These drugs have a stronger analgesic and anti-inflammatory effect than non-hormonal analgesics. Muscle relaxants and antispasmodics will help the periarticular muscles get rid of spasms.
Antioxidants and vasodilators improve cartilage nutrition. The main drugs for the conservative treatment of the disease are chondroprotectors, which contain chondroitin and glucosamine sulfate (natural components of cartilage).
The use of pathogenic drugs should be systemic and prolonged.
Physiotherapy
Physiotherapy treatment methods (UHF, ultrasound or phototherapy) are considered as additional means to speed up the healing process.
They also include:
- Acupuncture. This method relieves muscle spasms near the affected joint, normalizes metabolic processes in them, thereby restoring damaged cartilage tissue.
- Hirudotherapy. Treatment with leeches has the same effect as injections, as it improves blood circulation.
- laser therapy. Such procedures relieve inflammation, swelling, improve metabolism and neutralize pain.
- Cryotherapy. Treatment with liquid nitrogen and regular ice at home is effective.
- Magnetotherapy. The influence of the magnetic field not only improves blood circulation in the tissues, but also relieves swelling and inflammation.
- Electromyostimulation. With the help of current microdischarges of different frequencies, muscles are restored and strengthened, and blood circulation in the limbs improves.
Treatment of knee osteoarthritis with physiotherapy is effective because it reduces pain. The attending physician usually prescribes such treatment depending on the stage of the disease.
Physiotherapy
Exercise therapy for arthrosis of the knee joint is one of the main ways to restore atrophied muscles, and it should be done very carefully and slowly. If the patient feels that the pain is coming back, the exercise should be stopped.

During therapeutic exercises, it is necessary to wear special knee braces-fixators. The rehabilitation course also includes the use of these braces, their purpose is to reduce the load on the knee affected by the cane or prosthesis. Patients with knee osteoarthritis are often prescribed to wear knee pads to relieve pain when walking.
Therapeutic gymnastics for gonarthrosis reduces the load on the damaged joint, developing leg muscles. Exercises that load the joint are strictly contraindicated. Water gymnastics and swimming are ideal activities.
orthopedic therapy
To reduce the load on the affected joints, the patient should use a cane. A good help for knee osteoarthritis is orthopedic shoes that provide a natural foot position and even load distribution.
Massage
Massage relieves muscle spasms, reduces pain and increases range of motion. This procedure also improves blood circulation and supplies the joint with nutrients.
Surgical intervention
A pronounced decrease in working capacity (especially up to 45 years) requires surgical treatment. The choice between corrective (osteophyte removal) and radical (knee replacement) treatment methods depends on the stage of the disease, the patient's age, symptoms and other factors.
Nutrition
As for the special diet for gonarthrosis, most often it is aimed at reducing the weight of the patient, since it is overweight that leads to overloading of the joints. It is recommended to eat small meals every 3 hours, eat lean meat (chicken, turkey, rabbit) and exclude fatty pork, and get the necessary protein from legumes.
Refined oil should be replaced with unrefined oil, salt intake should be limited. The therapeutic diet also involves the rejection of canned, fried and smoked foods. In order to restore the destroyed cartilage, it is necessary to supply the body with carbohydrates, which can be found in cereals and whole grain flour.
In addition, it is recommended to drink freshly squeezed juices, such as carrot, beetroot and apple, to eliminate toxins and reduce inflammation in the body.
Fish and various jellies act as chondroprotectors and help restore cartilage not only in the early stages, but also during periods of exacerbation.
Folk methods of treatment
There are many ointments, compresses, tinctures used by lovers of traditional medicine. These remedies are usually made from herbs, medical bile, and they help improve circulation in the joints.
Compresses and ointments also relax the muscles, their effectiveness is very high, but in the third stage of gonarthrosis without the use of drugs they are practically useless.
Traditional medicine should not be neglected, as it helps relieve discomfort and reduce many symptoms of the disease. But in any case, you should consult a doctor, and not self-medicate.
There are contraindications, it is necessary to consult a specialist.
Prevention
It is recommended to adhere to the following principles of a healthy lifestyle:
- Balanced diet;
- give up bad habits (smoking, alcohol);
- sports;
- maintaining a healthy weight;
- prevention of sports injuries (bruises, displacements, fractures).
Knee osteoarthritis has several treatment options depending on the patient's age and physical condition. To prevent and control the disease in the early stages, sports are necessary, as well as timely treatment.



















